余丹
岳阳市妇幼保健院
儿童保健与康复医学中心
副主任医师
儿童生长发育、儿童内分泌疾病,尤其在儿童矮小症、性早熟、性发育异常、甲状腺功能减低等疾病治疗上有丰富经验。
坐诊时间:每周一至周六上午(负一楼110 诊室)
影响长高的因素有哪些?
各位家长您好,非常高兴和大家一起分享一下生长发育的一些小知识,今天的内容是身高增长的基本知识,咱们看一下这个图。
生长主要是骨干在生长,骨的生长是基于骺板软骨细胞不断分化增殖成熟凋亡的一个过程,所以长高其实是生长软骨细胞在不停的像糖葫芦串一样累积起来的一个生长过程。所以如果骨骺闭合了,骨的生长也就停止了,骨干的长度也就不再增加了,相应的身高增长也就停止了。
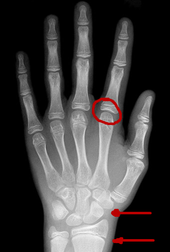
那我们怎么知道骨骺是否闭合了呢?可以通过骨龄来判断,通常来讲就是骨头的年龄,但是骨龄不一定等于一个时期的年龄。骨龄可以通过拍摄手掌骨的X片,一般拍的是左手,可以了解腕骨和掌骨的发育情况。
男孩6岁
男孩14岁
这是一个骨龄的片子,孩子身高不能够掉以轻心。首先,骨龄它不等于实际年龄,现在高也不意味着成年后一定高。目前男孩的骨龄16岁,女孩的骨龄14岁半基本上骨骺就接近了闭合。男孩骨龄14岁半和女孩骨龄12岁半身高会出现减速,一般来说,身高的年增长会小于2个厘米。身高增长有两个高峰,第一个高峰是0到2岁,出生的时候普遍的均身高是50厘米,第一岁的时候一般是75到76厘米,所以第一年生长大概是25到26个厘米左右,而两岁时可以到85到86厘米。从出生到两岁的整个过程,身高的一个增长速度是35到36个厘米。三岁到青春期间,这是一个生长的稳定期,大概是5到7个厘米每年。第二个生长高峰是在青春期,是性激素的作用开始的标志,如女童一般是乳房出现发育,多在9到14岁的时候,而男童一般是出现睾丸的增大,大部分出现在11到13岁。在这个标志开始以后一到两年会达到身高增长的峰值。整个青春期的生长,男童增长大概是25到30厘米,女童大概是25厘米,大概相当于0到1岁时的增长幅度。
身高增长是一个连续的过程,它具有阶段性,会受到体内的多种激素调控,还会受到外部环境的影响。分三部分讲:第一阶段是婴幼儿期,婴幼儿期主要指的是三岁以内,它是一个生长快速期,生长所需要的激素主要就是一个生长激素,还有一个甲状腺素,第一年身高增长大概是25厘米,第二年的话就是10厘米左右;第二阶段是3岁到青春期前,它是一个稳定增长期,身高增长会减缓,整个生长所需要的是生长激素和甲状腺素,虽然每年的年增长只有5到7厘米,但是它的时间足够长,例如女童3岁到青春期前(10岁前),整个过程有将近七年的时间,所以整个身高增幅也是比较大的;第三阶段是青春期,从青春期开始(11岁左右)到整个青春期结束(20岁左右),它是一个快速生长期,生长所需要的激素主要包括生长激素,甲状腺素和性激素,身高增长大概是25到30个厘米不等,骨骺线整个闭合也预示着生长的结束。
本文为中立科普内容,不涉及任何商品推广。文中所介绍的治疗方案有明确适应证,需要确诊后在医生指导下使用。如想采用该治疗,请到正规医院就诊,遵医嘱治疗。
科普内容仅代表作者观点,不代表平台立场。
本文系作者授权海纳患教发表,未经许可,不得转载。


