林 鸣
华中科技大学附属协和医院 儿童内分泌科 主治医师
医学博士
华中科技大学附属协和医院儿童内分泌科主治医师
美国密歇根大学医学中心访问学者
新冠疫情一线抗疫医生
湖北省科普作家协会医学科普创作专业委员会秘书
从事儿科工作多年,于2017年4月开办个人微信公众号及微博“小儿内分泌林医生”,今日头条号“武汉协和儿科林鸣博士”,受到患者家属的一致好评。
主要擅长:儿童生长发育、身材矮小、性早熟、儿童肥胖、甲状腺功能异常、糖尿病等儿童内分泌疾病。
葛大爷说睡保健床垫能长高,真是如此吗?
前年的春晚小品居然看到了久违的葛大爷还是挺惊喜的,里面有一段挺搞笑,睡了那高级床垫还能长高,看到这里笑得我差点没从椅子上摔下来,当然这是讽刺某些哄骗老年人的保健品。
我就想,现实生活中会不会真的有这些神奇功效的保健品或者器械呢?我顺手在某宝上一搜,还真不少,撇开那些钙铁锌之类的不谈,我把这类产品总结为2类:
1.打着中药旗号的外用鞋垫、穴位贴;
2.用外力把人拉长的器械。
首先是神奇的“纯天然中草药足贴”,瞧瞧这广告打的,适用于8岁-33岁,下面图片里的这位大叔看上去少说也有30多了,还能从158cm长到165cm,要我说,如果真有这么神奇的功效,明年的诺贝尔医学奖绝对是这个足贴发明者。
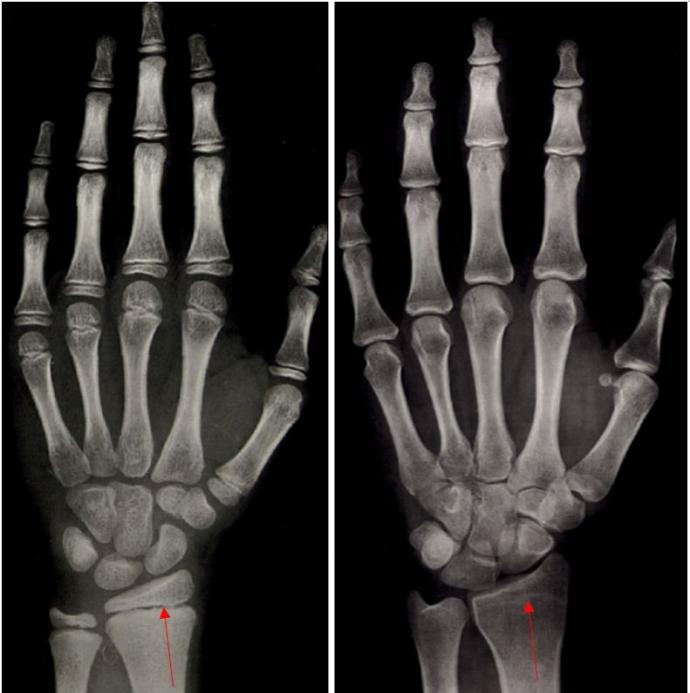
那么这里就会有人问,多少岁以后就不再长高了呢?这里就给大家献上我们儿童内分泌医生最经常做的检查:左手骨龄片。
左边这个是男性8岁7个月的骨龄片,右边是17岁的骨龄片,从8岁7个月的骨龄片上可以看到,红箭头所指的这个缝隙我们叫做骨骺,理论上说只要骨骺没有闭合,就说明还有生长空间;而右边17岁骨龄片中的红箭头所指的地方骨骺已经闭合,就可以判断基本不会再长高了。
(中国人手腕部骨龄标准—中华05及其应用)
当然极少数青春期延迟的青少年有可能在18岁以后骨骺还没有闭合,但一般都合并有生殖器官发育延迟的表现。所以这些广告中所宣称的成人还能长好几厘米,纯属睁着眼睛说瞎话,最可笑的是下面的一堆买家好评留言,也是让我犯了尴尬癌。
(图片来自淘宝买家评论)
然后网站上销售的第二大类就是拉伸的器械,比如吊环和倒立器械。
(图片来自淘宝网站)
这种是否有道理呢?答案是有一定的道理,因为拉伸(无论是吊环还是倒立)可以使脊柱松弛,改善一些脊柱侧弯和脊柱前弯的况,达到身高增加的效果。
但对于没有脊柱侧弯或者脊柱前弯的人来说,这种身高增加只是暂时性的,因为停止这种锻炼后,脊柱仍然会因为重力的作用压缩回原来的样子,身高也会恢复到之前的水平,并且这种倒立的拉伸运动建议在专业的理疗师的指导和监测下进行,而不是自己在家里盲目的拉伸。
并且吊环和倒立这种拉伸运动极易造成肌肉和关节损伤,并且会引起血压升高,所以被美国运动医学学院限制为成人运动[1],所以各位长高心切的家长就不要在家里给孩子尝试这类“拔苗助长”的方法。对于孩子来说,跳跃类的运动比如跳绳、篮球等更能安全有效的促进身高增长。
参考文献:
1. Landry, Bradford W., andSherilyn Whateley Driscoll. "Physical activity in children andadolescents." PM&R 4.11 (2012): 826-832.




